• <li id="kkkk0"></li>
    Flash :

    Une première femme militaire à Sansha Oscar Pistorius a été reconnu coupable d’homicide involontaire Une Chinoise de 24 ans découvre qu’il lui manque une partie de son cerveau Le Prince Harry échappe de peu à un grave accident de la route Burger King sort un hamburger entièrement noir au Japon Le Pakistan aurait arrêté les 10 agresseurs de Malala Yousafzai en 2012 Découverte du premier dinosaure nageur en Afrique du Nord Une consommation d’eau limitée dans la région de Beijing Accueil mitigé pour les billets à prix réduit pour la Cité Interdite Chongqing-Munich : un périple unique de 21 jours en train Ouverture du procès des suspects de l'attaque terroriste de Kunming Concurrence déloyale : plusieurs constructeurs condamnés Ouverture du 14e sommet de l'OCS à Douchanbé La visite du président chinois au Tadjikistan est "historique" Trafic de drogue : plusieurs Australiens risquent la peine de mort La demande en or va continuer à augmenter en Chine Une foule immense assiste au mascaret du fleuve Qiangtang Des paléontologues s'inspirent du film Avatar Le Premier ministre finlandais espère que les nouvelles sanctions contre la Russie seront de courte durée Cuba envoie six tonnes d'aide humanitaire à Gaza

    Beijing  Très nuageux  28℃~16℃  City Forecast
    Français>>Société

    Une Chinoise de 24 ans découvre qu’il lui manque une partie de son cerveau

    ( Source: le Quotidien du Peuple en ligne )

    13.09.2014 09h34

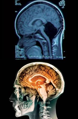
    Une vue du scanner de la jeune femme (en haut) ; la tache noire montre le vide laissé par l’absence du cervelet

    C’est une affaire qui met en lumière à quel point cet organe est adaptable : une jeune chinoise a atteint l'age de 24 ans sans que personne ne se rende compte qu’il lui manquait une grande partie de son cerveau !

    La découverte a été faite lorsque la jeune femme a été admise à l'H?pital général de l'APL de la région militaire de Jinan dans la province du Shandong, se plaignant de vertiges et de nausées. Elle a dit aux médecins qu'elle avait eu des difficultés à marcher régulièrement pendant la plus grande partie de sa vie, et sa mère a indiqué qu'elle n'avait pas marché avant 7 ans et que son discours n’est devenu intelligible qu’à l'age de 6 ans.

    Les médecins lui ont fait passer un scanner et ont immédiatement identifié la source du problème - l'ensemble de son cervelet manquait. L'espace où il devrait être était vide de tissu. Au lieu de cela, il était rempli de liquide céphalo-rachidien, qui amortit le cerveau et procure une défense contre les maladies. Le cervelet -parfois appelé le ? petit cerveau ?- est situé sous les deux hémisphères. Il est différent du reste du cerveau, car il est constitué de plis de tissu plus petits et plus compacts. Il représente environ 10% du volume total du cerveau, mais il contient 50% de ses neurones.

    Bien qu'il ne soit pas rare d'avoir une partie de cerveau qui manque, soit congénitalement ou suite à une opération de chirurgie, la jeune chinoise rejoint un ? club d'élite ? de seulement neuf personnes qui sont connues pour avoir vécu sans la totalité de leur cervelet. Il n’y a presqu’aucune description détaillée de la fa?on dont la maladie affecte un adulte vivant, disent les médecins de l'h?pital chinois, car la plupart des personnes qui se trouvent dans cet état meurent à un age jeune et le problème est découvert seulement à l'autopsie.

     

    • Nom d'utilisateur
    • Anonyme

    Sélection de la rédaction

    Les Articles les plus lus |Sondage

    Pages spéciales

    18禁夜色福利院在线播放